Blog

Dental X-Rays

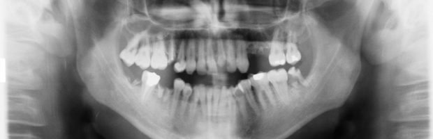
Dental radiographs (x-rays) are essential, preventative, diagnostic tools that provide valuable information not visible during a regular dental exam. Dentists and dental hygienists use this information to safely and accurately detect hidden dental abnormalities and complete an accurate treatment plan. Without x-rays, problem areas may go undetected.

Dental x-rays may reveal:

Dental x-rays may reveal:

Detecting and treating dental problems at an early stage can save you time, money, unnecessary discomfort, and your teeth!

Are dental x-rays safe?

We are all exposed to natural radiation in our environment. The amount of radiation exposure from a full mouth series of x-rays is equal to the amount a person receives in a single day from natural sources.

Dental x-rays produce a low level of radiation and are considered safe. Dentists take necessary precautions to limit the patient’s exposure to radiation when taking dental x-rays. These precautions include using lead apron shields to protect the body and using modern, fast film that cuts down the exposure time of each x-ray.

How often should dental x-rays be taken?

The need for dental x-rays depends on each patient’s individual dental health needs. Your dentist and dental hygienist will recommend necessary x-rays based on the review of your medical and dental history, dental exam, signs and symptoms, age consideration, and risk for disease.

A full mouth series of dental x-rays is recommended for new patients. A full series is usually good for three to five years. Bite-wing x-rays (x-rays of top and bottom teeth biting together) are taken at recall (check-up) visits and are recommended once or twice a year to detect new dental problems.

Schedule a Consultation

Come in for a consultation and find out all about the best cosmetic dentistry in Beverly Hills. Let Rifkin Raanan help you own your smile.

Call Now 310-205-5300 / Book an Appointment