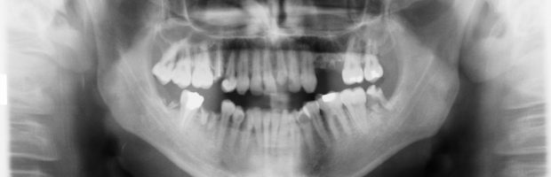
Digital X-Rays (digital radiography) is the most advanced form of dental X-Rays. Rather than using X-Ray film, this technique utilizes an electronic sensor that captures the digital image for storage on a computer. This is much faster than making film images, and digital images can be instantly viewed, enlarged, manipulated and transmitted, thereby enabling the dentist and dental hygienist to more readily detect and define problems. Digital X-Rays offer the additional benefit of reducing radiation by 80 to 90% when compared to the relatively low exposure generated by traditional dental x-rays.

Dental X-Rays are important diagnostic tools that are essential in enabling dental professionals to correctly prescribe preventative and corrective treatments. They provide valuable information that would not otherwise be available during regular dental exams. Information provided by digital dental X-Rays make it possible for dentists and dental hygienists to safely and accurately detect and diagnose hidden dental abnormalities—a necessary first step in developing an appropriate plan of treatment. Without the benefit of Digital X-Rays, problems may go undetected until they have become severe.
Early detection and treatment of dental problems may save you unnecessary discomfort, time & money—and possibly even your teeth!
Each of us is exposed to natural radiation daily, in our environment. Digital X-Rays utilize a significantly lower level of radiation, as compared to film type dental X-Rays. Digital X-Rays are not only better for a patient’s health and safety, they are faster and cause less discomfort to the patient, thereby reducing time spent in the dental office. Another advantage is that since the digital image is captured and transmitted electronically, there are no X-Ray films to be developed. This means that digital X-Rays don’t produce harmful waste and chemicals which would be destructive to the environment.
Although digital x-rays generate a very low level of radiation and are generally considered to be safe, dentists are still careful to take precautions that will limit the patient’s radiation exposure. Such precautions include taking only those x-rays that are actually necessary, and appropriate use of lead apron shields.
The patient’s individual dental history and needs will be evaluated by your dental professional in determining when dental X-Rays are needed. Other considerations include your age and risk of disease, and (of course) any particular symptoms that may be noted during your routine dental exam.
As a minimum, new patients should always have a full mouth series of dental X-Rays. Barring complications, a full mouth series is generally considered good for three to five years. Bite-wing x-rays (x-rays that show top and bottom teeth biting together) are generally taken at regular check-up visits. They are recommended at least once or twice per year to detect new / developing dental problems.
There is really no reason not to have this simple diagnostic procedure done, thanks to the ease and safety of taking Digital X-Rays.
Come in for a consultation and find out all about the best cosmetic dentistry in Beverly Hills. Let Rifkin Raanan help you own your smile.
Call Now 310-205-5300 / Book an Appointment